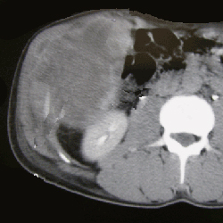
Dr. Jenny Shao details a case in which concurrent panniculectomy was used to reconstruct a complex abdominal wall during hernia repair.
MAY 5, 2025
Know Your Hernia: Concurrent Panniculectomy with Complex Abdominal Wall Reconstruction
MAY 5, 2025
Dr. Jenny Shao details a case in which concurrent panniculectomy was used to reconstruct a complex abdominal wall during hernia repair.
Please log in to post a comment
How is this a tension free repair? I do not see how gluing mesh in the pre-peritoneal space achieves long term hernia repair? The fascial closure is performed under tension as there was no mesh reinforcement on the fascia. Placing mesh without some anchoring into the abdominal wall will not prevent hernia recurrence
Here is what I would have done differently:
These are the things I would have done differently. Other surgeons will approach it differently--and that's okay. That's why there is a comment section here! Tough hernia and panniculectomy. Can we see post-op results?